Immunology is at the nexus of most diseases and healing. Understanding and harnessing the power of the immune system is central to curing diseases and promoting human health and resilience.
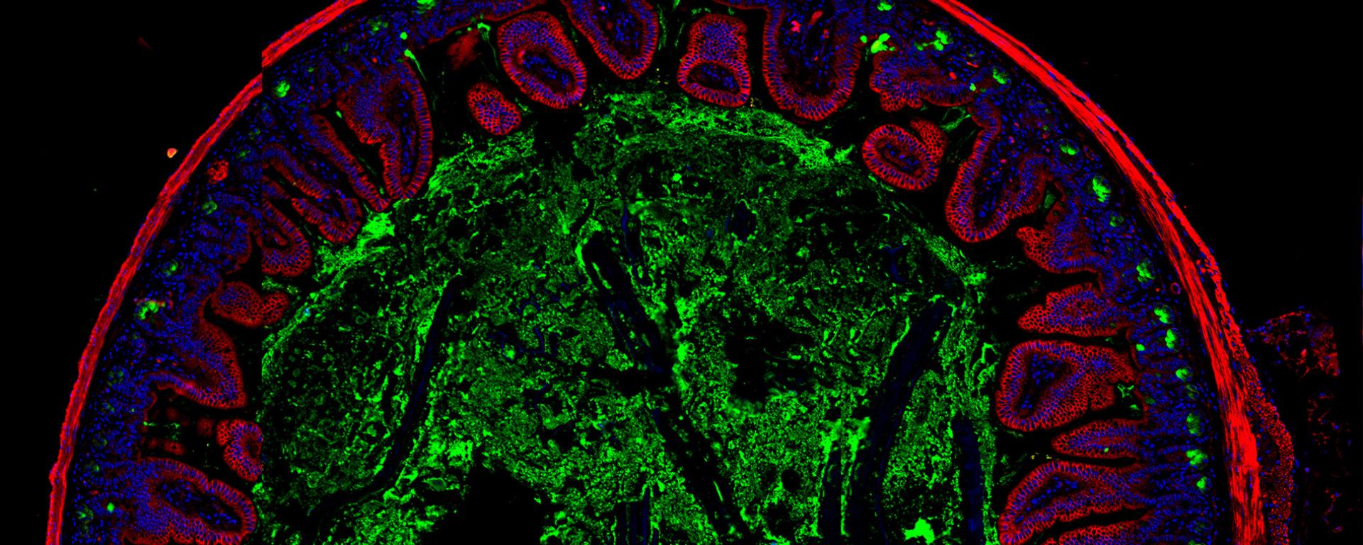
IMAGE ABOVE: Mouse small intestinal tissue stained with UEA-1 (Green), followed with actin staining (Red) and DNA labeling (Blue) to highlight the protective epithelial barrier contained within an outer smooth muscle layer. Courtesy of Liam Gracia, PhD Candidate, Valdivia Lab.
Duke Integrative Immunobiology:
Excellence in Research, Education, and Science Culture
Integrative Immunobiology is a basic science department that seeks to understand the function of the immune system and how information derived from patients can help frame the research questions we ask to best understand human diseases. This is reflected in our training mission with multiple interdisciplinary research projects for graduate students and postdoctoral fellows to tackle. Also critical to our success as a department is fostering a culture where people of all backgrounds are respected and included as well as an ethos of service to society.
Research
Immunobiology is an expanding field that touches multiple scientific areas. From cancer biology, to neurosciences, to microbiology, the immune system determines whether health or disease ensues. The spectrum of research performed in Duke Integrative Immunobiology includes vaccinology, cellular immunology, cancer immunology, neuroimmunology, host-microbe interactions, innate and adaptive immunity, and autoimmunity.
Education
Integrative Immunobiology aims to train scientists that are well versed in basic, clinical, and translational immunology. Doctoral students in the Immunology Graduate Training Program can participate in a variety of research projects from basic molecular mechanisms of how lymphocytes function, to the analysis of immune responses in human populations, to the engineering of new vaccines and cell based immunotherapeutics.
Culture
Duke Integrative Immunobiology seeks to create an environment that fosters an open and robust exchange of ideas. Diversity in all its forms strengthens our science programs and community. Our goal is to train outstanding scientists who effectively engage with all communities to communicate the value of their scientific discoveries and who advocate for the prominent role that science education and research needs to play in our society.

Duke Research Saves Lives
Duke’s relentless pursuit of scientific innovation transforms groundbreaking discoveries into life-changing patient care and healthier communities. Explore how Duke researchers are changing people’s lives across North Carolina and around the world.


Upcoming Events
Genomic Contributors to Sex Differences in Human Biology
to
French Family Science Center, room 4233
Dissertation Announcement: Apoorva Iyengar
to
MSRB 3, room 1125
Invest in Our Future
At Duke University School of Medicine, donors play a vital role in fostering innovation, enhancing patient care, and training the next generation of health care leaders. Your contributions not only sustain and elevate existing programs but also pave the way for groundbreaking discoveries.